爱牙日| 呼吁关注儿童龋齿,重视饮水中“氟”的危害!
- 2019-09-20 18:30:00
- 翼猫科技 原创
- 0
2019年9月20日是第31个“全国爱牙日”,今年的活动主题是“口腔健康 全身健康”。俗话说的好,一口好牙,是吃出来的!也是喝出来的!
饮水氟浓度影响龋齿发病率
随着人们饮食习惯的改变,龋齿等口腔疾病越来越多,且儿童龋齿率呈上升态势。据2017年国家卫计委第四次全国口腔健康流行病学调查显示,我国12岁儿童恒牙龋齿率为34.5%,5岁儿童乳牙龋齿率为70.9%,分别比十年前上升了7.8个百分点和5.8个百分点。
尽管人们的口腔保健意识正在逐步增强,但仍存在盲点,比如对于氟的错误认知。氟是人体内重要的微量元素之一,是牙齿及骨骼不可缺少的成分,可以促进牙齿珐琅质对细菌酸性腐蚀的抵抗力,预防龋齿。尽管一些牙膏和日常食物中也含有氟,但饮用水才是人体获取氟的主要途径。
中国疾控中心环境所白雪涛所著的《生活饮用水,从安全到健康》一书指出,如果儿童缺氟会造成牙釉质发育不良,易发生龋齿。因为人类摄氟量大约65%来源于饮水,所以保留饮水中的氟对健康是有益的。
来源:中国新闻网
儿童龋齿与饮用水的关系
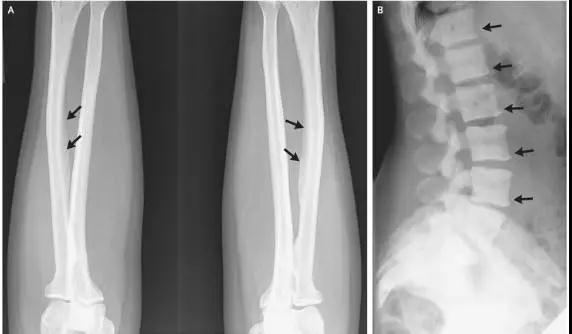
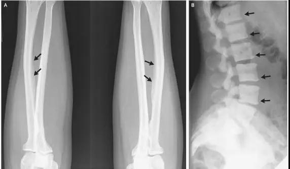
如果在牙齿发育矿化期间,长期饮用含氟量过多的水,会导致慢性氟中毒。氟对牙釉质的形成有抑制作用,会引起牙釉质发育不全或钙化不良。
表现为同一个时期萌出的牙齿的牙釉质,呈粉笔状白垩色斑块或黄褐色、暗棕色斑块,严重的可合并牙冠表面残缺、龋齿。
饮水中氟对身体的危害
氟是人体的必需元素,但摄入量应是适量的,摄入过高量的氟化物对健康是有害的。根据生活饮用水卫生标准的要求,每升饮水中的氟化物不应超过1毫克,如果长期饮用超过卫生标准的水,则将可能引起氟中毒。
印度村庄多名村民氟中毒 下肢严重弯曲触目惊心
儿童因饮用水含氟量过高而导致氟中毒,他们出现关节僵硬、骨骼变形、下肢弯曲等症状,牙齿呈黄褐色或黑褐色斑纹。据悉,约有1000人因氟中毒而残疾。
如果饮水中的氟化物更高时,例如每升水中含氟化物3-4毫克或以上时,则将有相当一部分成人会患氟骨症。这是一种十分痛苦的骨病,这些病人行动不便,有的甚至丧失劳动能力,生活不能自理。
饮用水中含氟高正确处理保安全
高氟水分微柱测试:家用净水机试验以及集中供水工程金盾除氟设备的出水监测。在相同条件下的性能比较,测试了家用净水机的再生性能,监测了集中供水除氟设备的出水氟含量。
结果表明:家用净水机的再生性能,后除氟性能稳定,完全符合《生活饮用水卫生标准》。
考虑到自来水二次污染及桶装水管理混乱等因素,越来越多的人意识到营造一个安全、环保、节能、便捷的校园饮水环境势在必行。校园专业饮水设备其实才是学校、家长要给孩子准备的重要健康“装备”。
让孩子不仅可以养成良好的喝水习惯,又能坚持喝既去除了有害物质,又保留了氟等矿物质的“健康安全水”对预防龋齿和身体健康非常重要,尤其是处于长牙期的小朋友。
安全去氟
从“喝”翼猫水开始
线上 健康e家商城预定水机
线下 翼猫服务站 上门服务
安全、方便、快捷,一步到位
关注翼猫科技 开启健康人生
官方微信:YMKJWLW2016
内容来源:百度资讯、中国新闻网
部分素材来源于网络,如涉侵权联系删除
















